

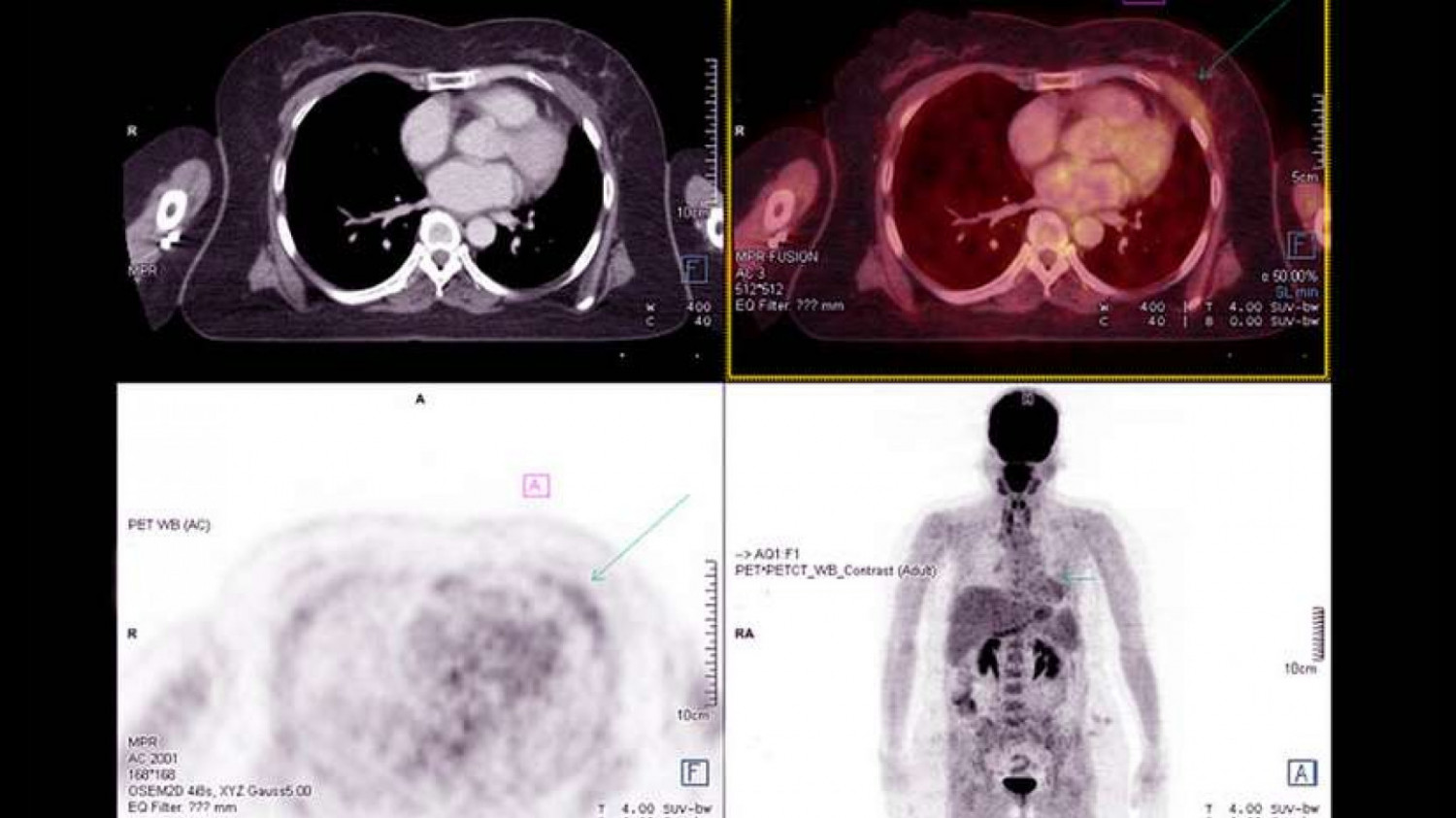
PET/CT
Positron Emission Tomography/Computed Tomography (PET/CT) provides the combined benefit of PET, which detects changes in cellular structure at the molecular level, and CT, which provides three dimensional images of bone and soft tissue. Your physician receives precise results for diagnosis and treatment planning.
When is a PET/CT used?
PET/CT is used in diagnosis and treatment planning for cancer. It is used to detect cancer, determine whether cancer has spread in the body, assess treatment, determine reoccurrence, or to confirm cancer free after treatment.
Contact Us